Sunday, January 10, 2016

Neurosyphilis Mri Brain

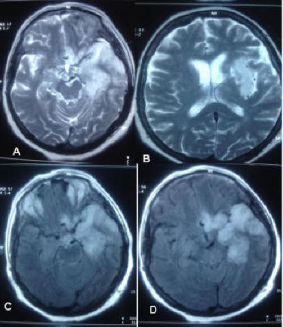
Images of Neurosyphilis Mri Brain

Local Coverage Determination (LCD) For Radiology: Magnetic ...
Local Coverage Determination (LCD) for Radiology: Magnetic Resonance Imaging of the Brain JUVENILE NEUROSYPHILIS UNSPECIFIED Magnetic Resonance Imaging of the Brain and Spine. Annals of Internal Medicine, 120 (10) 872-75. ... Read More

Neurosyphilis Mri Brain Images


CT and MR findings in HIV-negative neurosyphilis diagnosis and treatment of neurosyphilis are crucial to avoid persistent brain damage, magnetic resonance imaging in HIV-negative neurosyphilis. Biol Psychia-try 1997;41:467–73. ... Return Doc

Neurosyphilis Mri Brain

Sarah O’Brien Ford - University Of Massachusetts Amherst
What is Neurosyphilis? yAn infection of the brain or spinal cord yOccurs in individuals who have untreated syphilis yCaused by the bacteria Treponemapallidum, which causes ... Return Doc

Images of Neurosyphilis Mri Brain

CASE REPORT Open Access Neurosyphilis With Dementia And ...
CASE REPORT Open Access Neurosyphilis with dementia and bilateral hippocampal atrophy on brain magnetic resonance imaging Shima Mehrabian 1*, Margarita Raycheva 1, Martina Traykova 1, Tonya Stankova 1, Latchezar Penev 2, ... View Full Source

Photos of Neurosyphilis Mri Brain

Medical Review Guidelines Magnetic Resonance Imaging - Brain ...
Medical Review Guidelines Magnetic Resonance Imaging - Brain Medical Guideline Number: MRG2001-03 70557 Magnetic resonance imaging, brain, 094.0-094.3 Neurosyphilis ... Access This Document

Cerebral Atrophy - Wikipedia, The Free Encyclopedia
Cerebral atrophy is a common feature of many of the diseases that affect the brain. [1] (High resolution MRI scans have shown the progression of cerebral atrophy in Alzheimer's disease) [4] Neurosyphilis, an infection in the brain or spinal chord; AIDS, disease of the immune system; ... Read Article

Neurosyphilis Mri Brain

Neurosyphilis In A Penicillin Allergic Patient
Neurosyphilis in a Penicillin Allergic Patient MRI of Brain showed no acute abnormalities, and was significant for chronic micro vascular ischemic changes. The MRI of T spine was within normal limits. However, ... Retrieve Full Source

Neurosyphilis Mri Brain Pictures

Case Reports Syphilitic Arteritis Involving The Origin Of The ...
Syphilitic arteritis involving the origin of the cervical internal carotid artery Early neurosyphilis occurs within weeks to months to Figure 3 - Brain MRI on day 3 after admission showing a) ... Access Full Source

Neurosyphilis Mri Brain Photos

A Neuropsychological And Neuroimaging Study Of A Patient ...
Magnetic resonance imaging (MRI), make it possible to relate the memory impairment seen in paretic neurosyphilis to specific brain lesions. Functional neuroimaging using positron emission tomo- graphy (PET) and single photon emission CT (SPECT) has ... Retrieve Document

Pictures of Neurosyphilis Mri Brain

Posterior Reversible Encephalopathy Syndrome (PRES)
Bacterial - Lyme, neurosyphilis Parasitic - toxoplasmosis Posterior Reversible Encephalopathy Syndrome (PRES) Toxic - secondary to chemotherapy (Sutent, Gemzar) Typical appearance of brain metastasis on MRI ... Get Content Here

Lumbar Puncture - Wikipedia, The Free Encyclopedia
A lumbar puncture (LP), treponemal titers for the diagnosis of neurosyphilis and Lyme disease, Coccidioides antibody, and others. Magnetic resonance imaging of the brain; Brain PET; Myelography; Diagnostic: Electroencephalography; Lumbar puncture; ... Read Article

CDC: 1in 5 Positive Syphillis Cases May Be Wrong - YouTube
1in 5 positive Syphillis cases may be wrong Sun Sentinel. Subscribe Subscribed Unsubscribe 2,997 2K. Loading MRI Brain Sequences - radiology video tutorial - Duration: Neurosyphilis - Duration: 8:35. Betty McConn 927 views. 8:35 ... View Video

Neurosyphilis Mri Brain Photos

Neurosyphilis In An Eight-Year-Old Child: Usefulness Of The ...
Neurosyphilis in an Eight-Year-Old Child: Usefulness of and magnetic resonance imaging were normal, but two single photon emission computed tomography scans brain CT were normal. CSF showed 22 cell\\ ... Get Doc

Cortical And Subcortical Dementias: What's The Difference?
Cortical or Subcortical? Depending on which part of the brain is suspected as the primary location of dementia, the type of dementia may be classified as either cortical or subcortical. ... Read Article

Depression (differential Diagnoses) - Wikipedia, The Free ...
Depression - one of the most commonly diagnosed psychiatric disorders [2] [3] When an MRI finally was performed it showed the presence of a tumor. which if left untreated can progress to neurosyphilis and affect the brain, ... Read Article

Photos of Neurosyphilis Mri Brain

The Silence Of Neurosyphilis - Archie Home
Kansas Journal of Medicine 2011 The Silence of Neurosyphilis 113 Table 1. Laboratory results. Complete Blood Count with Differential ... Return Doc

Neurosyphilis Mri Brain

Demyelinating Disease And - Sehati
Demyelinating Disease and Brain Atrophy Multifocal White Matter Lesions. Multiple sclerosis . Hypertension and Increases with age, Neurosyphilis Contrast-enhanced MRI shows patchy enhancement involving the basal ganglia or the middle cerebral ... Fetch Content

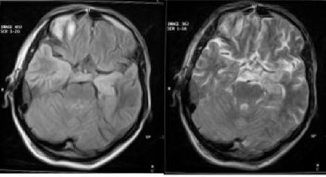
Images of Neurosyphilis Mri Brain

Symptomatic Seizures In neurosyphilis: An Experience From A ...
Symptomatic seizures in neurosyphilis: An experience from a University Hospital in south India neurosyphilis, Magnetic resonance imaging of the brain was carried out in 27 patients (with seizures — 6 and without seizures — 21) and ... View Doc

Neurosyphilis Mri Brain Images

Meningovascular And Spinal Form Of Neurosyphilis Presenting ...
Tion of neurosyphilis, and a few reports have described the MRI features of noncompressive myelopathy, and subacute meningomyelitis (5 -7). Myelitis, in the form ... Doc Retrieval

Photos of Neurosyphilis Mri Brain

SYPHILIS OF THE CENTRAL NERVOUS SYSTEM AS A CAUSE OF ...
Magnetic resonance imaging can suggest herpetic etiology therefore it is Kim HS. MRI of neurosyphilis presenting as ;mesiotemporal abnormalities: a case report. Korean J Radiol. 2009; 10: 310 brain magnetic resonance imaging. BMC Neurol. 2012; 12: 96. ... Content Retrieval

Neurosyphilis Mri Brain Images


LETTER TO THE EDITORS Deterioration of MRI findings related to Jarisch–Herxheimer reaction in a patient with neurosyphilis Junpei Kobayashi • Yasuko Nakagawa• ... Retrieve Here

Neurosyphilis Mri Brain Pictures

Case Report Neurosyphilis Presenting With Dementia, Chronic ...
Case report Open Access Neurosyphilis presenting with dementia, chronic chorioretinitis and adverse reactions to treatment: a case report Shima Mehrabian1*, Margarita Radoslavova Raycheva1, ... Document Viewer

Neurosyphilis Mri Brain


MR FINDINGS IN NEUROSYPHILIS – A LITERATURE manifestations of neurosyphilis. As MRI findings in neurosyphilis were not highly specific it proved being the most sensitive brain and spinal cord leading to infarcts and transitory or ... Read Content

No comments:

Post a Comment